Gina
Before
After
At age 53, Gina presented with the following dental concerns: Missing, broken, decayed teeth, and roots. Following a treatment that included Extractions, root canals, and bridges. Complete, healthy smile.
Jesus
Before
After
At age 79, Jesus presented with the following dental concerns: Broken, short, and dark teeth. Following a treatment that included Crowns and bridges. Stronger, brighter smile.
Mercedes
Before
After
At age 39, Mercedes presented with the following dental concerns: Missing teeth, dark crown margins, uneven colors. Following a treatment that included Custom bridges. Bright, balanced smile.
Allison
Before
After
At age 15, Allison presented with the following dental concerns: Teeth were not straight. Following a treatment that included Traditional braces. Straight, confident smile.
Cristian
Before
After
At age 13, Cristian presented with the following dental concerns: Small teeth, didn’t like his smile. Following a treatment that included Traditional braces. Confident, well-aligned smile.
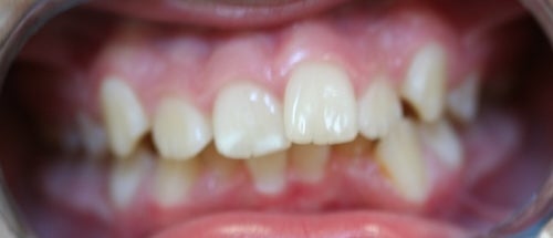
Esmeralda
Before
After
At age 12, Esmeralda presented with the following dental concerns: Uneven teeth—some up and others down. Following a treatment that included Fillings and traditional braces. Even, happy smile.
Jefferson
Before
After
At age 16, Jefferson presented with the following dental concerns: Open bite, teeth in/out/high. Following a treatment that included Braces and surgical eruption. Aligned bite and smile.
Pagination
Get a brighter smile today!
Contact us now to schedule your appointment and have the smile you've dreamed about!