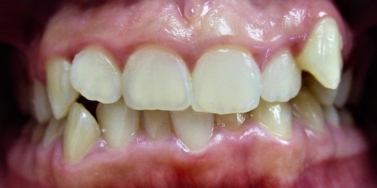
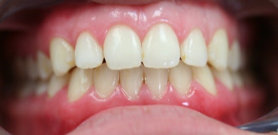
Katherine
Before
After
At age 35, Katherine presented with the following dental concerns: Tooth loss, overlapping, decay. Following a treatment that included Crowns and traditional braces. Healthy, aligned smile.
Julie
Before
After
At age 33, Julie presented with the following dental concerns: Misaligned teeth, decay, gummy smile. Following a treatment that included Traditional braces and gum contouring. Balanced, beautiful smile.
Jossue
Before
After
At age 12, Jossue presented with the following dental concerns: Overlapping teeth. Following a treatment that included Traditional braces. Straight, confident smile.
Linda
Before
After
Linda presented with the following dental concerns: High eruption and overlapping teeth. Following a treatment that included Surgically assisted eruption and braces. Aligned, healthy smile.
Maria R.
Before
After
At age 55, Maria P. presented with the following dental concerns: Missing teeth and overlapping teeth. Following a treatment that included Crowns. Complete, aligned smile.
Steven
Before
After
At age 20, Steven presented with the following dental concerns: Spaces between front teeth. Following a treatment that included Traditional braces. Has a confident, gap-free smile.
Alex
Before
After
At age 45, Alex presented with the following dental concerns: Loose teeth, uneven height, difficulty chewing and speaking. Following a treatment that included Extractions and bridge with crowns. Smiles and speaks with confidence.
Brenda
Before
After
At age 45, Brenda presented with the following dental concerns: Missing teeth, wore removable partial, difficulty eating and speaking. Following a treatment that included Fixed bridge. Eats, speaks, and smiles proudly.
Ryan
Before
After
At age 68, Ryan presented with the following dental concerns: Short front teeth, overlapping, yellow tone. Following a treatment that included Crowns. Bright, even, youthful smile.
Maria P.
Before
After
At age 55, Maria P. presented with the following dental concerns: Missing teeth and overlapping teeth. Following a treatment that included Crowns. Complete, aligned smile.
Pagination
Get a brighter smile today!
Contact us now to schedule your appointment and have the smile you've dreamed about!