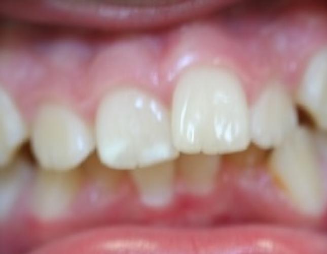
At age 12, Esmeralda presented with the following dental concerns: Uneven teeth—some up and others down. Following a treatment that included Fillings and traditional braces. Even, happy smile.


At age 12, Esmeralda presented with the following dental concerns: Uneven teeth—some up and others down. Following a treatment that included Fillings and traditional braces. Even, happy smile.